![]() |
| 作品情報 | 使用上の注意など | |||
|---|---|---|---|---|
| 作品番号 | 12500002 | クレジット表記 | (c)勝本 哲央 / Artefactory | |
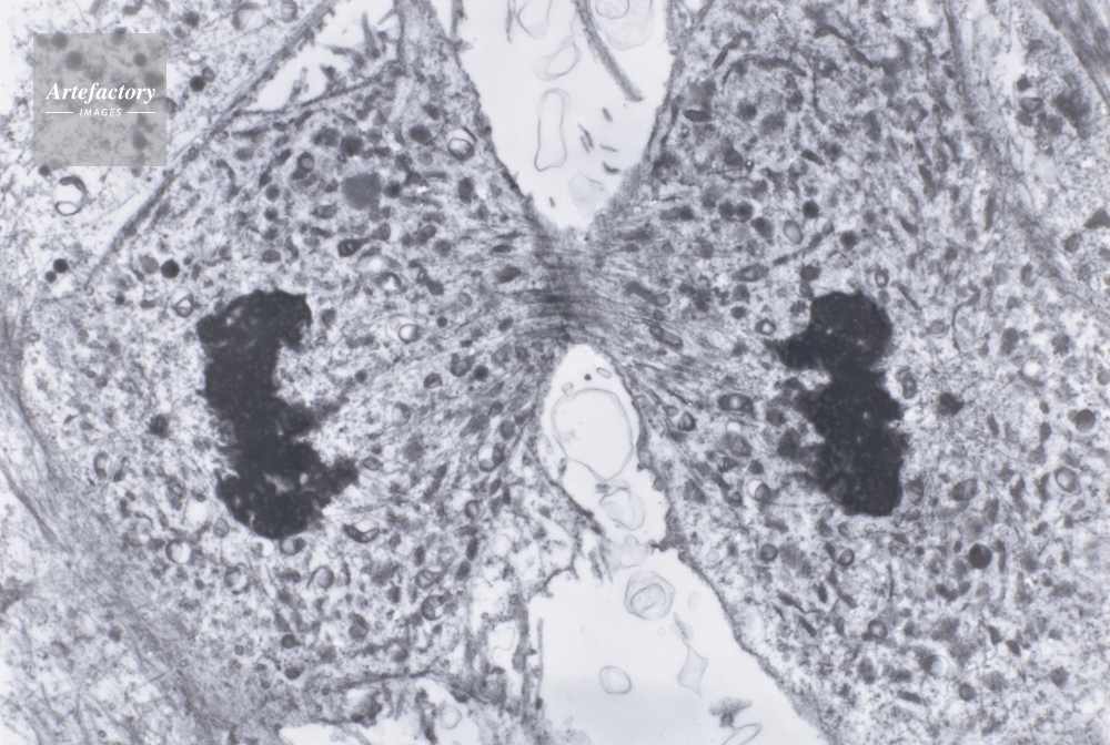
| 作品タイトル | ネズミ体細胞核分裂・終期 | モデルリリース | なし | |
| 作家 | 勝本 哲央 | プロパティリリース | なし | |
| キャプション | 電顕倍率約2400倍 | 制限事項 | ||
| コレクション | OPO | 注意事項 | 本作家の作品は別途料金が発生する場合がございます。詳細についてはお問い合わせ下さい。 被写体やご利用方法によっては、事前に肖像権・商標権等に関する使用許可の取得が必要となる場合がございます。 |
|
| ソース | ピクセル数 | 5937px × 3989px | ||
| 撮影地 | 印刷サイズ | 43.1cm × 28.9cm | ||
| 撮影年月日 | データサイズ | 14MByte | ||
| 学術名 | ファイル形式 | JPEG | ||
| キーワード | ||||