![]() |
| 作品情報 | 使用上の注意など | |||
|---|---|---|---|---|
| 作品番号 | 27500594 | クレジット表記 | (c)youichi tamura / Artefactory | |
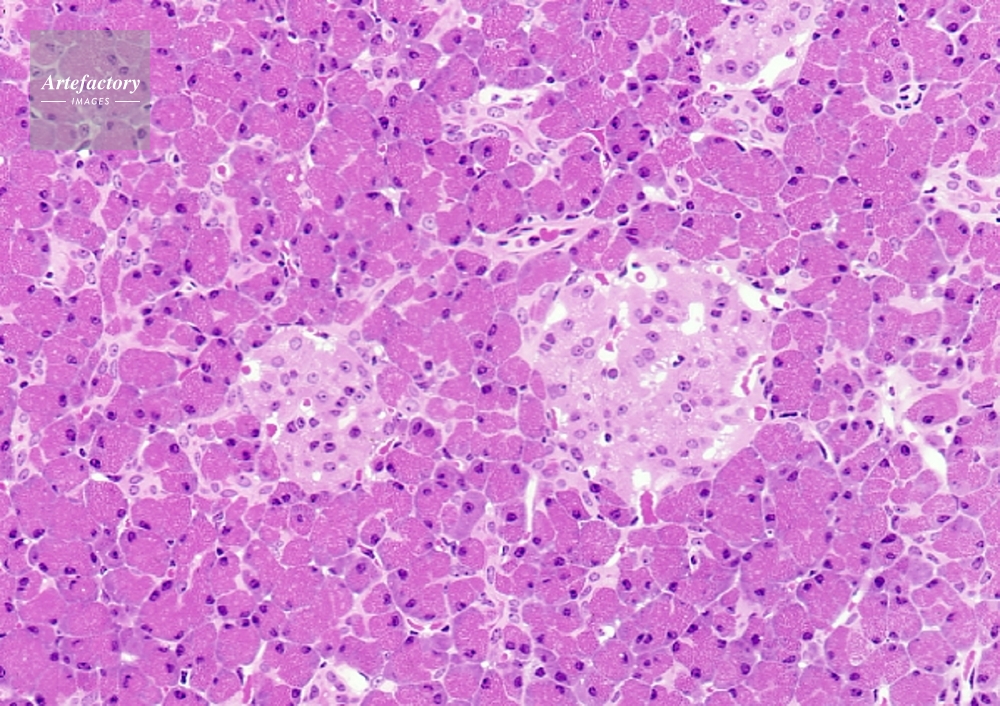
| 作品タイトル | サル すい臓(ランゲルハンス島) | モデルリリース | なし | |
| 作家 | 田村 洋一 | プロパティリリース | なし | |
| キャプション | ヘマトキシリン・エオシン染色、長辺55mmの場合 80倍 | 制限事項 | こちらはポジのみの画像です。貸出中につきご提供できない場合はご了承ください。 | |
| コレクション | OPO | 注意事項 | 被写体やご利用方法によっては、事前に肖像権・商標権等に関する使用許可の取得が必要となる場合がございます。 | |
| ソース | ピクセル数 | 1280px × 904px | ||
| 撮影地 | 印刷サイズ | |||
| 撮影年月日 | データサイズ | |||
| 学術名 | ファイル形式 | JPEG | ||
| キーワード | ||||